血細胞形態分析儀
全自動血細胞形態學分析儀ME-150

一、產品功能
用于分類、分析血液中的白細胞、紅細胞、血小板等成份
(1)從個體上看,根據細胞的形態判斷細胞類型及細胞發育階段

(2)從整體上看,判斷某一類別細胞數量上有無變化、形態上有無變化、變化的程度有多大
如淋巴細胞:20%~40%(正常區間)


具體檢測內容

二、產品特點



基于計算機視覺(Computer vision)的形態參數分析

三、系統組成


配套耗材

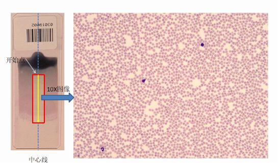
四、操作流程
(1)工作流程

(2)分析流程

1)單細胞層掃描

2)白細胞定位

3)油浸下形態






浙公網安備 33010402001362號