染色儀
Dagatron瑞式-吉姆薩染色液(HR-2A)

產品描述
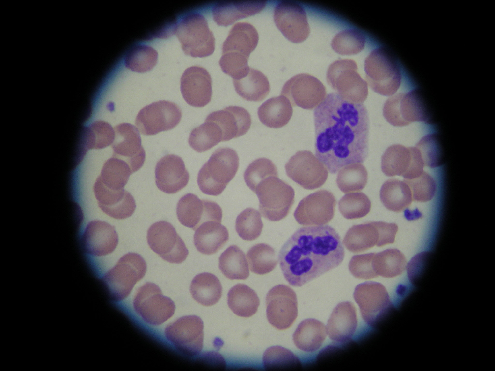
瑞式染色法是一種改良的羅曼諾斯染色法,用于對血液中的細胞成分進行差異染色。當血細胞細胞膜被該種染色法處理后,包細胞細胞核和細胞質被染成為特征性的藍色或粉色。瑞式染色的純化染料消除了染色的不一致,并產生批次間可重復的顯色反應。瑞式染色試劑盒用于自動染色機,型號AT-2000H,AT-3004,也可用于手工染色。
產品成分
組成 |
別名 |
規格 |
HR-2A(1) |
瑞式-吉姆薩復合染色液 |
950ml/瓶 |
HR-2A(2) |
磷酸鹽緩沖液 |
950ml/瓶 |
染色結果(血涂片×400)

(RBS/WBC)
產品用途
主要用于對血細胞進行染色。





浙公網安備 33010402001362號